试题详情
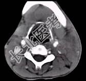
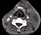
- 单项选择题男性,67岁, 颈部出现疼痛性肿块半年余,CT扫描如图所示, 最可能的诊断是 ( )



A、神经鞘瘤
B、囊肿
C、淋巴结核
D、淋巴瘤
E、血管瘤
关注下方微信公众号,搜题查看答案

热门试题
- 能抑制细胞周期蛋白依赖性激酶的基因是A、
- 目前NCCN指南推荐用于晚期非小细胞肺癌
- 外阴癌单纯放疗的剂量为 ( )A
- 病人,女性, 31岁。人流术后半年,阴道
- 克服肿瘤耐药的方法主要有( )A、多
- 术前放射治疗通常是用于A、局限期小细胞肺
- 与术后放疗比较,以下关于术前放疗的优点说
- 发生于消化道的胃肠间质瘤(GIST),最
- 1882年Halsted首创了乳腺癌根治
- 局限期肺小细胞未分化癌作全脑预防性放疗
- 下面对肿瘤病机描述正确的是( )A、
- 随机对照研究表明,对于老年初治弥漫大B细
- 多数睾丸肿瘤早期发生淋巴转移,最早到达
- 关于MTS分期系统描述正确的是A、强调提
- 对于继发性肝癌诊断的关键为( )。A、
- 卵巢恶性生殖细胞瘤通常使用的一线化疗方案
- 癌组织局限于黏膜和黏膜下层的胃癌是(
- 类癌是指A、一种与癌类似的恶性肿瘤B、一
- 肾癌的表现为无痛性全程肉眼血尿( )A
- 预后最好的睾丸肿瘤是 ( )