试题详情
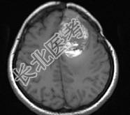
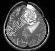
- 单项选择题女,39岁, 三年前因左额部胶质瘤手术治疗,最近出现头痛, 并抽搐大发作1次,请根据所提供图像, 诊断最有可能是 ( )

A、(左额叶)脑脓肿
B、(左额叶)脑出血
C、(左额叶)星形细胞瘤Ⅱ~Ⅲ级
D、(左额叶)脑转移瘤
E、(左额叶)放射性脑炎
关注下方微信公众号,搜题查看答案

热门试题
- 骨血管瘤多发部位为( )A、四肢骨B、
- 1、首选的治疗方案A、放疗加化疗B、放疗
- 阴道后壁上1/3透明细胞癌,临床分期为Ⅰ
- 关于肿瘤免疫逃逸的描述不正确的是A、接受
- 女,32岁, 头痛1年,复视4个月, 请
- 女,20岁, 贫血、低热、浅表淋巴结肿大
- 1、下列检查中合适的是( )2、患者
- 过继性细胞免疫治疗中常用的细胞因子是A、
- 术中冰冻诊断适应证有( )A、临床怀
- 下列不属于胶质瘤的脑瘤是( )A、星形
- 公众照射的年均照射的剂量当量限值为A、全
- 下述关于喉癌放射治疗原则不正确的是A、T
- 当前与靶向治疗有关的肺癌组织学类型主要有
- 原发性肝细胞癌最敏感的肿瘤标志是A、肝脏
- 化学致癌过程可以分为( )A、进展阶
- 从化疗保护骨髓功能的角度使用基因治疗,应
- 关于新辅助化疗的叙述不正确的是A、可减少
- 放射治疗小细胞肺癌的剂量通常是 (
- 1、该膀胱肿瘤的分期是2、正确的治疗是
- 依据肺癌TNM分期,N2为( )A、对