试题详情
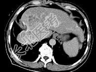
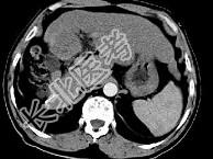
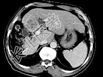
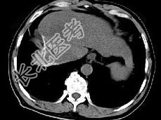
- 单项选择题女性患者,56岁, 腹胀、双下肢浮肿、乏力、食欲不振,影像所见如下图, 最佳的诊断是 ( )

A、肝炎后肝硬化并肝癌
B、局限性脂肪肝
C、原发性肝癌
D、血吸虫肝硬化并肝癌
E、酒精性肝硬化并肝血管瘤
关注下方微信公众号,搜题查看答案

热门试题
- 以下乳腺浸润性导管癌的组织学分级正确的是
- 原发性肝细胞癌最敏感的肿瘤标志是A、肝脏
- 经卵圆孔出颅的神经有( )A、迷走神经
- 声门上区喉癌已照射60Gy,颈淋巴结仍有
- 质子治疗具有高线性能量传递(LET)射线
- 颅咽管瘤放射剂量应控制在 ( )
- 我国第一个上市的基因治疗药物的效应基因是
- 宫颈癌放疗后生殖器官的改变哪项应除外(
- 眼睑基底细胞癌单纯放疗的治愈率可达到A、
- 以下各种泌尿生殖系病变引起的牵涉性疼痛规
- 睾丸淋巴引流的第一站( )A、腹股沟淋
- 放疗机房屏蔽设计时应当考虑的因素A、使职
- 1、患者应该进行的辅助检查是( )2
- 以下哪些细胞有可能参与肿瘤逃避免疫攻击的
- 发病率最高的颅内肿瘤是( )A、髓母细
- 设肺癌的肿瘤致死剂量为70Gy、肺的耐受
- 有关骨巨细胞瘤正确的是 ( )A
- 以下化疗药物中,常用于治疗胃癌的有(
- 1、为明确诊断,最佳的下一步检查是(
- 哪个不属于放射治疗的禁忌证( )A、皮