试题详情
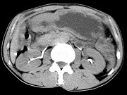
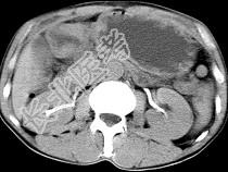
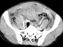
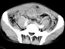
- 单项选择题男,56岁, 无规律上腹痛,左锁骨上淋巴结肿大, 消瘦、乏力,影像检查如图, 最可能诊断为 ( )

A、胃及腹腔淋巴瘤
B、胃癌并盆腔种植
C、胃溃疡穿孔
D、肠系膜淋巴管瘤
E、腹膜结核
关注下方微信公众号,搜题查看答案

热门试题
- 1、可能的诊断有2、为明确诊断须进行的检
- 肿瘤细胞侵袭、转移的过程包括哪项( )
- 为分析Tc-(V)-DMSA标记反应液的
- 123I-MIBG的优点包括哪项A、其γ
- 哪个不属于放射低度敏感的肿瘤( )A、
- 颅咽管瘤最典型的CT表现为( )A、出
- 用于抑癌基因治疗的有 ( )A、
- 周围型肺癌X线检查时最常见的影像学表现为
- NK细胞的抗肿瘤机制包括 ( )
- 以下哪种DNA的序列对转录的起始有较强的
- 有关胸腺瘤哪些叙述是正确的 (
- 胸部CT对肺癌的诊断,以下哪些正确 (
- 下列哪些是前列腺癌的表现 ( )
- 以下说法正确的是( )A、无论哪段食管
- 男性患者,52岁, 临床诊断左侧中央型肺
- 一个10cm×20cm的矩形射野,其等效
- 2023年12月发表的研究评估2005
- 宫颈癌腔内照射的照射范围应除哪项外(
- 乳腺MRI的临床应用指征包括哪项(
- 小细胞肺癌化疗的经典方案有 (