试题详情
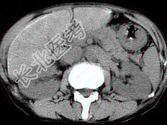
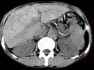
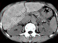
- 单项选择题男,40岁有血吸虫感染史, 腹胀不适,食欲减退, CT扫描所见如图,最可能的诊断是 ( )

A、肝炎后肝硬化
B、血吸虫后肝硬化
C、酒精性肝硬化
D、胆汁性肝硬化
E、脂肪肝
关注下方微信公众号,搜题查看答案

热门试题
- 属于顺式作用元件的是A、转录抑制因子B、
- 下列不属于病原治疗药物的是 (
- 关于发热待查患者进行血培养检查的正确描述
- 黄土汤的药物组成是( )A、干地黄
- 下列抗菌药物对霍乱弧菌均有抑制作用,但不
- 牡蛎泽泻散证的病机是A、病后脾阳虚弱,运
- 湿温初起,一般的治疗原则为A、宣肺解表B
- 半夏半升(洗)、黄芩、干姜、人参、甘草(
- 祛湿法的作用是( )A、宣通气机B、
- 太阳病下后、微恶寒、胸满、脉促,此时治疗
- 下列有关风温的治疗原则,哪一项不妥A、初
- 执业医师应当使用专用处方开具麻醉药品和精
- 《灵枢·本神》肾气实的证候是A、便秘,小
- "霍乱"头痛发热,身疼痛, 热多欲饮水者
- 《热论》中热病的“两感于寒”指A、重复感
- 制定国家艾滋病监测规划和方案的机构是A、
- 根据我国传染病防治法及其细则规定,属于强
- 1、其证候属于A、营卫不和B、肺虚不固C
- 《素问·痹证》认为,肠痹的症状有(
- 某心性水肿患者,用地高辛和氢氯噻嗪治疗,