试题详情
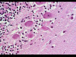
- 单项选择题如图,有关狂犬病的内氏小体, 下列哪项不正确 ( )

A、常见于海马旁回和小脑
B、主要位于神经细胞核内
C、是一种嗜酸性包涵体
D、对狂犬病有诊断价值
E、是狂犬病毒的集落
关注下方微信公众号,搜题查看答案

热门试题
- 据《素问·四气调神大论》,"发陈"描述的
- 关于传染病的治疗,下述哪项是错误的 (
- 下列何方配伍了相反的药物A、十枣汤B、大
- 某女,60岁。患右侧手臂不举, 背部恶寒
- 阵发性室上性心动过速首选A、维拉帕米B、
- 下列三承气汤比较中,哪项是错误的A、三承
- "脉阴阳俱紧"中"阴阳"是指A、寸口、趺
- 麻黄加术汤所治湿病的临床表现是(
- 布氏杆菌病可通过多种途径传播,其中最主要
- 能有效杀灭炭疽芽胞的方法是 (
- 关于APC处理递呈抗原,下列哪项错误A、
- 《素问·热论》中,伤寒二日的症状有(
- 下列哪种物质脱下的氢经呼吸链传递后P/O
- 下列哪种疾病仅能获得短暂而不持久的免疫力
- 下列可使组织再生修复延缓的是A、蛋白质和
- 医务人员在诊疗活动中应当向患者说明病情和
- 肺痈与肺痿的鉴别主要有哪些症状(
- 薛生白说"阳明之表",指的是A、肌肉、四
- 大陷胸汤的药物组成是A、大黄、芒硝、甘遂
- 表现为“显性感染”占优势的疾病是 (