试题详情
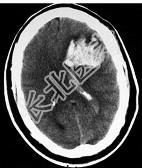
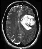
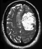
- 单项选择题男,52岁, 既往检查有脑动静脉畸形,突发站立不稳伴恶心呕吐4小时, 请结合影像图像选择最可能的诊断 ( )



A、脑出血
B、脑脓肿
C、脑转移瘤
D、脑梗死
E、颅内动脉瘤
关注下方微信公众号,搜题查看答案

热门试题
- 关于溺水治疗错误的是 ( )A、
- 双侧瞳孔扩大的病因可能是 ( )
- 感染性休克并发DIC的机制是 (
- 急性下壁心肌梗死常可合并 ( )
- 呋塞米治疗急性肺水肿时的常用剂量为 (
- 男,31岁, 反复咳嗽,咯血十年余, 请
- 1、最可能的诊断是 ( )A、失
- 有机磷杀虫药中毒首选的药物是 (
- 男,69岁, 于一天前饮酒后突发左侧肢体
- 患者呼出气中,下列哪一项气味有助于判断硫
- 扩血管活性药是 ( )A、硝酸甘
- 不属于超高压电的是 ( )A、雷
- 复苏的生存链包括以下几个环节 (
- 人工呼吸每次吹气应不少于多少秒 (
- 预防休克的措施有 ( )A、固定
- 胸外按压技术的注意事项是 ( )
- 中心静脉压正常范围为 ( )A、
- 硝普钠的常用有效剂量为 ( )A
- 1、最可能的诊断是 ( )2、在
- 阿托品治疗有机磷杀虫药中毒机制为 (