试题详情
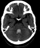
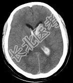
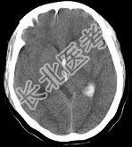
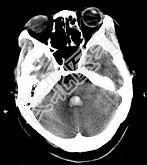
- 单项选择题男,43岁, 有高血压病史10年,突发剧烈头痛、呕吐, CT检查如图,最可能的诊断是 ( )




A、脑梗死
B、脑膜瘤破裂出血
C、外伤性脑出血
D、脑室内出血
E、以上都不对
关注下方微信公众号,搜题查看答案

热门试题
- 有机磷农药中毒烟碱样症状表现为 (
- 治疗氨基甲酯类杀虫药物中毒除外哪项 (
- 重金属中毒时应该用哪种解毒剂 (
- 符合感染性休克低排高阻型特点下列哪些是正
- 关于CO中毒,正确的是 ( )A
- 误服下列哪一种药应禁忌洗胃 (
- 心源性休克的机制是 ( )A、心
- 男,32岁, 平素体健,被人发现意识不清
- 扩血管活性药是 ( )A、硝酸甘
- 经皮起搏器治疗的适应证有哪些 (
- 奇脉见于 ( )A、心绞痛B、高
- 患者,女, 61岁。头晕,HR64次/分
- 尖端扭转性室性心动过速的治疗原则 (
- 人工气囊面罩辅助通气正确的方法是 (
- 男性患者,22岁, 突感呼吸困难,胸片检
- 感染性休克时使用血管扩张剂注意点是 (
- 患者为一农药灌装工,在无防护的情况下连续
- 男,35岁, 口服敌百虫300ml后昏迷
- 体温每升高1℃,脑代谢率增加多少 (
- 最常引起过敏性休克的药物是 (