试题详情
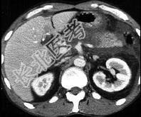
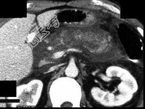
- 单项选择题女,45岁, 急性上腹部持续性疼痛10小时,程度剧烈, 放射到胸背部,恶心、呕吐, 白细胞计数增高,血尿淀粉酶升高, 影像所见如图,最可能的诊断是 ( )


A、急性单纯性胰腺炎
B、急性出血坏死性胰腺炎
C、慢性胰腺炎
D、胰腺癌
E、胰腺脓肿
关注下方微信公众号,搜题查看答案

热门试题
- 失血性休克补充血容量时,输液的量和速度应
- 患者误服农药水剂1h。查体:呈浅昏迷状态
- 地震现场的特点 ( )A、遭灾面
- 心肺复苏后治疗的近期目标是 (
- 女,26岁, 农忙时节时不慎将乐果污染了
- 有机磷农药中毒烟碱样症状表现为 (
- 杀鼠剂氟乙酰胺中毒,特效解毒药是 (
- 阿托品不适用于 ( )A、窦性心
- 休克早期,由于儿茶酚胺大量释放,造成
- 电损伤对人体的危害跟哪些因素有关 (
- 贫血最不常见于下列哪种毒物中毒 (
- 现场保持气道通畅的措施错误的 (
- β-受体阻滞剂治疗的绝对禁忌证有哪些
- 1、患者送入ICU后,最合适的监护措施是
- 休克指数的定义为 ( )A、收缩
- 符合感染性休克高排低阻型特点下列哪些是正
- 下列哪种情况禁用硝酸酯类药物 (
- 急性有机磷杀虫药中毒患者在症状缓解后,约
- 男,32岁, 有头颅外伤史,结合CT图像
- 多巴胺轻度正性肌力作用和肾血管扩张作用时