试题详情
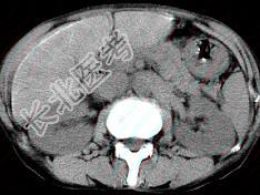
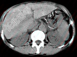
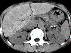
- 单项选择题男,40岁有血吸虫感染史, 腹胀不适,食欲减退, CT扫描所见如图,最可能的诊断是 ( )

A、肝炎后肝硬化
B、血吸虫后肝硬化
C、酒精性肝硬化
D、胆汁性肝硬化
E、脂肪肝
关注下方微信公众号,搜题查看答案

热门试题
- 周围神经系统的神经胶质细胞是( )。
- 流行性腮腺炎并发症有 ( )A、
- 关于流行性出血热,下列哪些是错误的 (
- 姜片虫病确诊有赖于 ( )A、粪
- 流脑的主要传染源是 ( )A、患
- 初次应答最主要的特点是A、IgG大量产生
- 流感的临床起病方式及表现为 (
- 传染性非典型肺炎的主要传播途径是(
- 关于副伤寒甲、乙的临床表现,下列哪项不正
- 医疗侵权赔偿责任中,医疗过错的认定标准是
- 药品生产企业需要以第二类精神药品为原料生
- 某医院内科病房,责任护士误将甲床患者的青
- 钩端螺旋体病的眼结膜充血的特点为 (
- 真菌败血症的特点有 ( )A、可
- 诊断为流行性乙型脑炎患儿于发热后第三日上
- 下列哪项不是流行性出血热的常见并发症
- 制定《执业医师法》的目的,不包括A、提高
- 多巴胺的药理作用是A、激动外周血管平滑肌
- 关于大肠杆菌败血症正确的是 (
- 关于十二指肠的叙述,错误的是A、十二指肠