试题详情
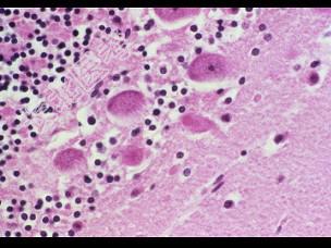
- 单项选择题如图,有关狂犬病的内氏小体, 下列哪一项不正确 ( )

A、对狂犬病有诊断价值
B、常见于海马旁回和小脑
C、主要位于神经细胞核内
D、是狂犬病毒的集落
E、是一种嗜酸性包涵体
关注下方微信公众号,搜题查看答案

热门试题
- 桂枝去芍药汤,去芍药的理由为A、更利于解
- 《素问·生气通天论》中“大风苛毒”,指的
- 如果医疗机构需要配制制剂,应该是本单位临
- 腹股沟三角是由( )围成。A、腹股沟
- 在站位或半坐位时腹膜腔最低的位置是(
- 医师执业注册条件A、具有中专医学专业学历
- 《脉要精微论》所论“筋将惫”的症状为A、
- 《素问·五常政大论》认为,治温病用凉药,
- 根据原文下列诸项,哪一项在栀子豉汤证中可
- 《素问·痿论》认为五脏气热皆可致痿,肾气
- 湿热发黄与寒湿发黄的鉴别要点是( )
- 有关姜片虫病的流行病学特征,不正确的是
- 关于肉毒杆菌及其毒素的性质,哪一项不对
- 《痹论》肠痹“中气喘争”指的是A、肠鸣腹
- 外斐反应常用于诊断恙虫病,在此反应中所用
- 第六条"微发黄色,剧则如惊痫, 时瘛疭(
- 被病犬咬伤后的伤口处理,下列哪一项不正确
- 姜片虫病的主要传播途径为 ( )
- 能使骨骼肌发生完全强直收缩的刺激条件是A
- 以下选项哪些证候类型属于中焦证候(