试题详情
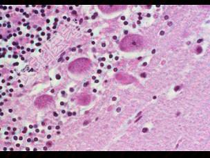
- 单项选择题如图,有关狂犬病的内氏小体, 下列哪项不正确 ( )

A、常见于海马旁回和小脑
B、主要位于神经细胞核内
C、是一种嗜酸性包涵体
D、对狂犬病有诊断价值
E、是狂犬病毒的集落
关注下方微信公众号,搜题查看答案

热门试题
- 不能经虫媒传播感染的病毒是A、乙型脑炎病
- 有关乙脑的概念下列哪项是不正确的 (
- 下列哪种疾病的确诊是无法通过普通显微镜检
- 下列哪些是皮肤蠕虫蚴移行症的临床表现A、
- 处理医疗事故,应当遵循的原则是公正、公平
- 以下是必需氨基酸的有( )A、谷氨酸
- 脊髓灰质炎发病主要是 ( )A、
- 腹股沟三角是由( )围成。A、腹股沟
- SARS病人应与下列哪些疾病鉴别 (
- 下列均是皮下及肌肉囊虫病的特点,除了A、
- 食品、食品添加剂、化妆品、油漆等非药品生
- 关于姜片虫病的粪便检查,正确的是 (
- 加强医疗机构临床用血管理的目的A、推进临
- 治疗低排高阻型休克常用的扩血管药物有
- 下列属于下呼吸道的是( )。A、气管
- 再次应答最主要的特点是A、潜伏期长B、I
- 关于抗原因素对免疫耐受形式哪项是正确的A
- 关于ARDS的治疗下列正确的有 (
- 对铜绿假单胞菌(绿脓杆菌)作用最强的氨基
- 治疗流行性斑疹伤寒的首选药物是 (