试题详情
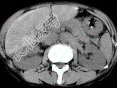
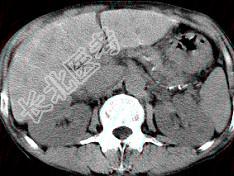
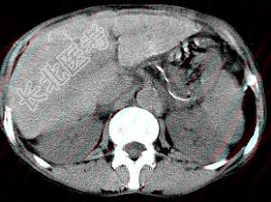
- 单项选择题男,40岁有血吸虫感染史, 腹胀不适,食欲减退, CT扫描所见如图,最可能的诊断是 ( )

A、肝炎后肝硬化
B、血吸虫后肝硬化
C、酒精性肝硬化
D、胆汁性肝硬化
E、脂肪肝
关注下方微信公众号,搜题查看答案

热门试题
- 温病热闭心包证的临床表现是A、灼热神昏,
- 接种单位应当具备的条件不包括A、具有疫苗
- 太阴病误下所致"胸下结硬",其病机是A、
- 治疗感染性休克常用的缩血管药物有 (
- 藿朴夏苓汤和三仁汤均能宣表化湿,但三仁汤
- 在《灵枢·寿夭刚柔》篇中,药熨的方药组成
- 男,5岁, 因畏寒、发热、头痛、烦躁不安
- 少阳病之所以虚实相兼,乃因于( )A
- 白虎加人参汤证的治法是( )A、苦寒
- 奇恒之腑的功能特点是A、地气之所生,泻而
- 流感常易引起暴发流行或大流行的原因是
- 小便不利,有水气, 其人苦渴,腹中冷者,
- 下列方剂除哪方外,都有桂枝、甘草这一对配
- 夏季患者骤然咯血,咳嗽气粗, 头目不清,
- 阳明病的主要治法是( )A、清热凉血
- 移位性蛔虫病及蛔虫病并发症以哪种最常见
- 医疗事故处理条例的疾病不包括A、严重遗传
- 温病发热的热型主要有以下哪几种( )
- 关于姜片虫病的粪便检查,正确的是 (
- 在家兔动脉血压试验中,暂时夹闭双侧颈总动