试题详情
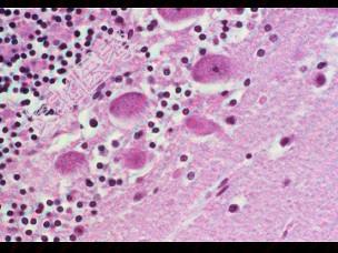
- 单项选择题如图,有关狂犬病的内氏小体, 下列哪项不正确 ( )

A、常见于海马旁回和小脑
B、主要位于神经细胞核内
C、是一种嗜酸性包涵体
D、对狂犬病有诊断价值
E、是狂犬病毒的集落
关注下方微信公众号,搜题查看答案

热门试题
- 流脑的临床分型叙述正确的是 (
- 引起病原体变异因素不包括A、病原体所处的
- 下列哪些方剂治疗主证有心痛彻背(
- 赤石脂禹余粮汤证的辨证要点是( )A
- AIDS患者晚期外周血细胞减少最显著的是
- 据《素问·举痛论》所述,"悲"所引的病机
- 《素问·脉要精微论》所说的"以此参伍",
- 为便于追查输血不良反应的原因,血液发出后
- 根据胸痹、心痛"阳微阴弦"的脉象,下列哪
- 潜伏性感染与病原携带状态的不同之处在于
- 《素问·六微旨大论》中的"是以升降出入,
- 与中脑相连的脑神经有A、视神经B、三叉神
- 单个细菌在固体培养基上的生长现象是形成A
- 关于湿热病邪(包括暑湿病邪)深入气分涉及
- 在患者离开手术室或麻醉术后复苏室之前,完
- 下列属于躯干骨的是( )。A、锁骨B
- 下列哪项不属于小承气汤证的主症A、谵语B
- 关于内毒素性质,错误的叙述是A、来源于革
- 与淋巴瘤发生相关的是A、丙型肝炎病毒B、
- 引起肾综合征出血热的病原体是A、汉坦病毒