试题详情
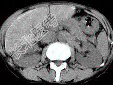
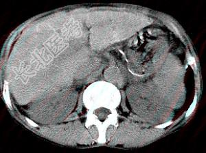
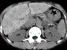
- 单项选择题男,40岁有血吸虫感染史, 腹胀不适,食欲减退, CT扫描所见如图,最可能的诊断是 ( )

A、肝炎后肝硬化
B、血吸虫后肝硬化
C、酒精性肝硬化
D、胆汁性肝硬化
E、脂肪肝
关注下方微信公众号,搜题查看答案

热门试题
- 伤寒病人的确诊依据是 ( )A、
- 执业医师处方权的取得方式是A、被医疗机构
- 主治"胸痹不得卧,心痛彻背"的方剂是A、
- 原文填空"服桂枝汤,大汗出后, 大烦渴不
- "伤寒、脉浮、自汗出,小便数、心烦、微恶
- 细胞和组织的适应性反应包括A、化生B、萎
- 桂枝加桂汤治疗奔豚气病,其病位主要在(
- 妇人产后三大证是指( )A、乳中虚
- 《热论》“其满三日者,可泄而已”的“泄”
- 医疗机构临床用血医学文书管理,以下说法正
- 微热、脉浮、消渴、小便不利之证,宜选A、
- 阳明清法三证是A、阳明腑实证、脾约证和津
- 由致敏B细胞受抗原刺激后,无法产生以下哪
- SARS主要流行于 ( )A、冬
- 制定国家艾滋病监测规划和方案的机构是A、
- 急性蛔蚴性肺炎是由蛔虫幼虫在肺内移性所致
- 抗微生物药物联合应用的指征包括 (
- 医疗机构未拟定临床用血计划或者一年内未对
- 下列哪项可以确定鼠疫的诊断 (
- 婴儿计划免疫,下列哪项正确A、2个月开始