试题详情
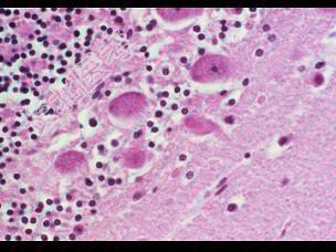
- 单项选择题如图,有关狂犬病的内氏小体, 下列哪项不正确 ( )

A、常见于海马旁回和小脑
B、主要位于神经细胞核内
C、是一种嗜酸性包涵体
D、对狂犬病有诊断价值
E、是狂犬病毒的集落
关注下方微信公众号,搜题查看答案

热门试题
- 下列均是皮下及肌肉囊虫病的特点,除了A、
- "诸热之而寒者,取之阳", 是指A、阴病
- 柴胡证往来寒热,休作有时的产生机制主要是
- 据《素问·咳论》内容,下列哪些脏腑是咳证
- 新生儿溶血病如需要换血疗法,经审核和患儿
- 男子二八的生理特点( )A、肾气平
- "桂枝本为解肌,若其人( )者, 不
- 下列属于躯干骨的是( )。A、锁骨B
- 虚劳里急,悸, 衄,腹中痛, 梦失精,四
- 病原体侵入人体后能否引起疾病,主要取决于
- 关于外斐反应,下列哪一项是不正确的 (
- 在AIDS进展期,机体各种免疫应答能抑制
- 属于固有免疫应答的细胞是A、T淋巴细胞B
- 据《灵枢·百病始生》,哪一项是伤脾而病起
- 强心苷引起的房室传导阻滞最好选用A、异丙
- 叶天士认为,发生战汗后, 脉静身凉,应注
- 《灵枢·本神》指出,血所舍藏的是A、魂B
- 吴又可对瘟疫的独特见解表现在:( )
- 下列汤证中,与三焦病变关系较大的有(
- 疫苗接种单位的管理说法错误的是A、接种单