试题详情
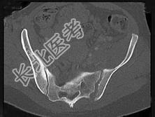
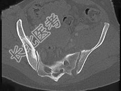
- 单项选择题男,56岁, 右髋部疼痛,结合图像, 最可能的诊断是 ( )

A、骶髂关节炎
B、骶髂关节结核
C、强直性脊柱炎
D、骨转移瘤
E、类风湿关节炎
关注下方微信公众号,搜题查看答案

热门试题
- 1、该患者复合伤类型属于A、放(放射损伤
- Raynaud综合征常见于A、青壮年B、
- 关于胸主动脉假性动脉瘤常见病因叙述不包括
- 1、最可能的原因是A、胫神经损伤B、腓总
- 1、患儿目前的诊断是( )A、肺
- 先天性肠旋转不良的手术原则如下,其中哪一
- 在脑胶质瘤中最常见的是A、脉络丛乳头状瘤
- 检查半月板的特殊试验包括的是A、旋转挤压
- 1、最可能的诊断是A、继发性上腔静脉梗阻
- 脊髓型颈椎病早期出现的症状不包括A、四肢
- 女,28岁。妊娠后期出现进行性背痛, 下
- 10岁女孩,颈中部, 舌骨下方,有一随吞
- 新生儿皮下坏疽的外科治疗措施为A、早期多
- 1、最可能的诊断是A、神经源性膀胱B、膀
- 婴儿,男, 足月娩出。生后第1天,从外院
- 指出以下神经系统肿瘤中,哪个不属于神经胶
- 1、早期比较合适的创面处理方式是A、立即
- 呼吸新鲜空气时,碳氧血红蛋白(COHb)
- 附睾与睾丸分离的诊断包括A、病史:大多有
- 检查精索静脉曲张的患者,应采取A、俯卧位