试题详情
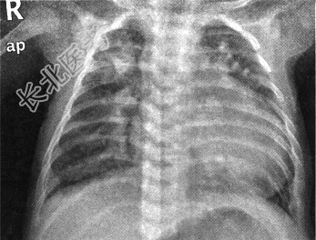
- [材料题] 患儿,男,55天,因"发现紫绀半月"入院。病史:足月顺产,满月后进食、哭闹后口唇及手指处紫绀,进奶欠佳,吃吃停停。查体:体重4.1kg,体温37.2℃,心率136次/分,律齐,SpO 273%,上肢血压78/49mmHg,下肢血压90/50mmHg。听诊心音亢进,心前区杂音不明显,肝肋下刚触及。胸部X线平片见下图。

- 多项选择题1.X线平片的发现包括( )
A、心胸比例增大
B、心胸比例减小
C、肺血减少
D、肺充血
E、内脏心房反位
F、胸腔积液
关注下方微信公众号,搜题查看答案

- 多项选择题2.为明确诊断首选的检查是( )
A、心脏多排CT
B、心脏MRI
C、超声心动图
D、心脏导管检查
E、心脏核素
F、心脏PET-CT
关注下方微信公众号,搜题查看答案

- 多项选择题3.超声心动图(胸骨旁四腔切面,图10、图11): 心脏位置正常,心房正位、心室正位。房室连接一致, 心室大动脉连接不一致,主动脉骑跨, 大部分发自左心室,位于左前, 主动脉瓣开放活动可,瓣环1.3cm; 肺动脉发自左心室,位于右后, 肺动脉瓣叶稍增厚,回声稍强, 开放活动受限,瓣环0.94cm, 流速2.7m/s,左肺动脉1.0cm, 右肺动脉0.99cm。RVDD1.1cm,LVDD2.8cm, 二尖瓣环1.5cm,轻度反流; 三尖瓣环0.93cm,轻微反流。左位主动脉弓, 降主动脉流速1.0m/s。该患者诊断应包括( )

A、右心室双出口
B、左心室双出口
C、室间隔缺损,肺动脉瓣下
D、室间隔缺损,主动脉瓣下
E、肺动脉高压
F、右心室发育不良
G、主动脉缩窄
关注下方微信公众号,搜题查看答案

- 多项选择题4.该患儿手术治疗首选的手术方案( )
A、心内隧道+大动脉调转术
B、REV术
C、肺动脉环缩术
D、室间隔缺损修补术
E、Rastelli手术
F、B-T分流术
关注下方微信公众号,搜题查看答案

热门试题
- 患儿男性,8岁, 头、面、颈Ⅱ~Ⅲ度烧伤
- 孕妇怀疑上尿路结石时首选的检查方法是A、
- 下列哪项指标不能作为进行性血胸的诊断依据
- 阿米巴原虫进入肝内最主要的途径是A、肝动
- 尿道分泌物及子宫颈分泌物涂片革兰染色,若
- 男,17岁。右膝部被马蹄踢伤后肿痛2个月
- 1、应优先选用的皮瓣是A、足底内侧岛状皮
- 创伤性窒息的发生是由于A、胸腔内压骤然升
- 休克患者应采取何种体位A、下肢低垂10°
- David手术是指A、升主动脉人工血管替
- 隐睾患者应早期治疗,以下关于隐睾的叙述哪
- 可发生急性心脏压塞征的心包腔内积血量是A
- 1、该病历的诊断应为A、腰椎转移瘤B、腰
- 肾外伤的手术适应证包括A、经输血、补液后
- 乳房囊性增生病的病理特征是A、增生只发生
- 1、该患者可初步诊断为A、多囊肾B、多发
- 1、诊断应考虑( )A、腹主动脉
- 腹膜后十二指肠损伤主要临床表现为A、血性
- 1、正确的诊断是A、大隐静脉瓣膜功能不全
- 锁骨骨折可发生的合并损伤是A、胸锁乳突肌