试题详情
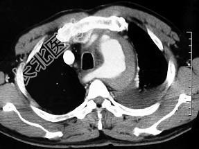
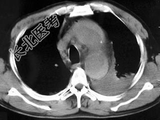
- 单项选择题男,58岁, 有高血压病史,突发胸背剧痛, CT扫描如图,其最可能的诊断为 ( )

A、主动脉瘤
B、主动脉假性动脉瘤
C、主动脉窦瘤破裂
D、高安氏病
E、主动脉夹层动脉瘤
关注下方微信公众号,搜题查看答案

热门试题
- 颅内压增高早期,主要症状包括A、耳鸣B、
- 先天性肥厚性幽门狭窄呕吐开始最常见的时间
- 睾丸鞘膜积液出现透光试验阴性时伴有A、多
- 关于手部解剖,叙述正确的有A、手掌及手指
- 肠结核的手术指征有哪些( )A、急性
- CCF治疗是为了 ( )A、保护视
- 肾损伤出现严重肉眼血尿时见于A、输尿管断
- 实验设计的原则是A、大样本B、随机C、对
- 尿β2-微球蛋白升高提示A、胃癌B、肾小
- 尿细菌培养菌落计数每毫升尿在多少个以上提
- 可出现“反跳现象”的脱水剂是A、20%甘
- 患者外伤后,在下列临床体征检查中, 支持
- 低钾血症时出现A、肌无力B、心电图U波出
- 腹腔镜气腹,早期并发症有A、脑梗塞B、气
- 锁骨骨折可发生的合并损伤是A、胸锁乳突肌
- 髌骨软骨软化症的治疗,下列错误的是A、加
- Parkinson三角的构成是A、滑车神
- 关于超声下胰腺穿刺活检技术,叙述正确的是
- 诊断膀胱破裂最简便的检查是 (
- 以下属于海绵窦综合征表现的是A、眼球运动