试题详情
- [材料题] 患者女性,50岁。3小时前被家人发现倒在地上,呼之不应,地面可见呕吐物。急送医院,体检:浅昏迷,BP:170/100mmHg。右侧瞳孔3.0mm,对光反射灵敏,左侧瞳孔2.5mm,对光反射迟钝,刺痛右侧肢体无活动,左侧肢体有回缩。既往无高血压病史。
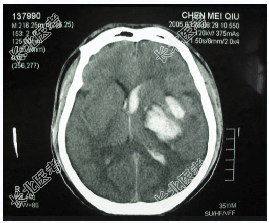
- 多项选择题1.提示:CT片,见下图。可得出的诊断有

A、左侧颞叶脑挫裂伤
B、脑室内出血
C、左侧颞叶脑内血肿
D、左侧颞叶胶质瘤
E、弥漫性脑水肿
F、胶质母细胞瘤
关注下方微信公众号,搜题查看答案

- 多项选择题2.以下哪些不是本例可能的出血原因
A、高血压脑出血
B、凝血功能障碍
C、脑挫裂伤并脑内血肿
D、脑血管畸形
E、颅内动脉瘤
F、烟雾病
G、肿瘤卒中
关注下方微信公众号,搜题查看答案

- 多项选择题3.提示:患者急诊行开颅探查、血肿清除、去骨瓣减压术, 术后一周后行全脑血管DSA,见下图。从上可能得出的诊断有

A、前交通动脉瘤
B、脑动静脉畸形
C、脑动脉粥样硬化性狭窄
D、硬脑膜动静脉瘘
E、烟雾病
F、海绵状血管畸形
关注下方微信公众号,搜题查看答案

- 多项选择题4.针对该例患者动脉瘤,可考虑的治疗方法有
A、血管内治疗(微弹簧圈栓塞术)
B、结扎右侧颈内动脉
C、开颅动脉瘤夹闭术
D、立体定向放射外科治疗
E、开颅夹闭右侧大脑前动脉(A1段)
F、开颅动脉瘤包裹术
关注下方微信公众号,搜题查看答案

- 多项选择题5.烟雾病外科治疗的方法有
A、颅内动脉狭窄球囊扩张术
B、颅内外动脉搭桥术
C、颞肌贴敷术
D、烟雾血管(脑底异常血管网)栓塞术
E、血管贴敷术
F、血管搭桥术
关注下方微信公众号,搜题查看答案

热门试题
- 患儿男,1个月。生后15天开始呕吐, 进
- 神经源性膀胱患者及疑有低顺应性膀胱者的膀
- 对于部位不明的上消化道大出血经非手术治疗
- 按国内常用的烧伤补液公式计算补液量,下列
- 脑动静脉畸形最常见的症状是A、头痛B、癫
- 在脑胶质瘤中,发病率情况依次是A、室管膜
- 患者男,60岁。左侧共济失调、面神经麻痹
- 1、诊断应首先考虑A、法洛四联症B、三尖
- 1、该患儿最可能的诊断A、ABO血型不合
- 种子细胞的选取应满足的基本要求有A、分裂
- 对于开放性胸外伤的概念下述哪一项是正确的
- 1、首次手术拟行双下肢切痂,微粒皮移植术
- 后尿道断裂的治疗,正确的是A、有开放性伤
- 关于超声下胰腺穿刺活检技术,叙述正确的是
- 男,60岁。腰痛3周, 无明显外伤史。X
- 治疗压力性尿失禁常用的悬吊方法有A、凯格
- 关于胸主动脉假性动脉瘤常见病因叙述不包括
- 上腹钝伤2h,呕少量鲜血。查体: 上腹压
- 患者男,22岁。双腕关节肿痛6个月。体检
- 下列临床表现与腰5~骶1椎间盘后突无关的