试题详情
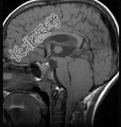
- 多项选择题第四脑室室管膜瘤(如图所示)临床特点包括 ( )

A、颅内高压症状较早
B、多以头痛为首发症状
C、伴有呕吐、头晕及强迫头位
D、肿瘤增大累及小脑蚓部或半球时,可出现平衡障碍、步态不稳和共济失调等
E、当肿瘤压迫脑干或脑神经时,可出现相应的脑神经障碍
关注下方微信公众号,搜题查看答案

热门试题
- 患儿,女, 出生后6天。阴道流出少量血性
- 1、据上述患者情况,应首先考虑A、切除甲
- 小儿软组织感染常见病原菌不包括A、大肠杆
- 前胸刀刺伤最可能伤害的心脏瓣膜是A、主动
- 肾移植后可引起慢性排斥反应的因素是A、细
- 小儿生长发育的一般规律,正确的是A、由下
- 1、为了明确诊断应该选择的检查项目有A、
- 1、此时首先应考虑A、正中神经损伤B、臂
- 下列关于冠心病的说法中,错误的是A、主要
- 患者,男性, 75岁。尿频,进行性排尿困
- 输尿管损伤的治疗原则不包括A、留置支架管
- 直肠癌根治手术应切除的范围有A、癌肿上下
- 关于麻醉前的准备,下列哪项是错误的A、纠
- 1、首先应想到的疾病为A、动脉导管未闭B
- 手外伤术后手应固定的位置是( )A、
- 关于静脉窦损伤的叙述,正确的是A、术中为
- 女性,33岁。反复肝区疼痛伴间歇性恶心、
- 哪些不是髓外硬膜下肿瘤(如图所示)的特点
- 患者,男, 36岁,20小时前右拇指末节
- 阴茎癌最好的预防措施是A、每天外阴清洗B