试题详情
- [材料题] 男性,50岁,持续剧烈上腹痛,伴腹胀、恶心、呕吐1天。查体:体温38.5℃,P110次/分,BP110/80mmHg,R32次/分。全身皮肤及巩膜轻度黄染,右上腹及中上腹压痛,伴明显肌紧张,反跳痛,肝区叩击痛阳性,肠鸣音弱。辅助检查:Hb126.1g/L,WBC16.8×109/L,AST234U/L,TBIL34.5mmol/L,DBIL29μmol/L,AKP314U/L,BUN9.9mmol/L,Cr125μmol/L,血钙1.75mmol/L,AMY403U/L,LPS678U/L。卧位腹平片示肠管充气扩张,肠间隙增宽。B超:肝回声均匀,未发现异常病灶,胆囊8cm×3cm×3cm大小,壁厚0.5cm,内有多发强回声光团伴声影,CBD:1.0cm,胰腺明显肿大,尤其以胰头、胰体明显,胰周多量液性暗区,胰管增粗。
- 多项选择题1.患者目前考虑诊断
A、急性胰腺炎
B、急性胆管炎
C、消化道穿孔
D、急性胆囊炎
E、多脏器功能不全
F、急性阑尾炎
关注下方微信公众号,搜题查看答案

- 多项选择题2.除常规非手术治疗的措施外,应首先考虑下列哪项治疗
A、LC+胆总管探查
B、腹腔灌洗
C、经皮穿刺引流
D、ERCP,必要时EST+取石+胆道引流
E、剖腹探查术
F、胰腺坏死组织清除术
关注下方微信公众号,搜题查看答案

- 多项选择题3.该患者入院后,给予液体治疗, 下列哪项不是EGDT的治疗目标
A、CVP8~12mmHg
B、MAP≥65mmHg
C、动脉血乳酸<2mmol/L
D、尿量≥0.5ml/(kg·h)
E、ScvO2≥70%或SvO2≥65%
F、动脉血pH7.35~7.45
关注下方微信公众号,搜题查看答案

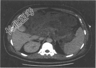
- 多项选择题4.患者入院1周后,生命体征趋于稳定, 临床症状缓解,无发热, 复查CT见下图。考虑患者目前出现的并发症是

A、急性胰周液体积聚
B、急性胰周液体积聚伴感染
C、急性坏死后液体积聚
D、包裹性胰腺坏死
E、胰腺假性囊肿
F、胰腺假性囊肿伴感染
关注下方微信公众号,搜题查看答案

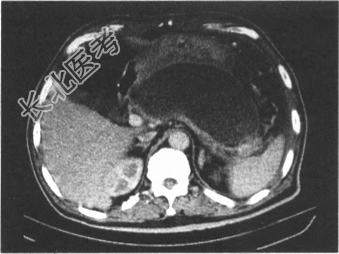
- 多项选择题5.患者入院治疗3周病情完全缓解后出院,1个月后复查CT见下图; 患者无明显不适主诉。目前应采取的治疗手段是

A、随访观察
B、开腹内引流
C、经皮穿刺置管引流
D、经胃镜下引流
E、ECRP+胰管支架
F、囊肿切除术
关注下方微信公众号,搜题查看答案

热门试题
- 关于冻僵患者的复温,叙述正确的有A、将患
- 1、诊断首先考虑A、胸腺癌B、侵袭性胸腺
- 导致烧伤患者心理障碍的相关因素包括A、患
- 颈静脉孔内有以下哪些结构通过A、前庭神经
- 肱骨干上1/3骨折,近端移位方向是A、向
- 1、门诊CT示三脑室后部类圆形占位病变,
- 引起下肢静脉曲张的主要原因是A、深静脉阻
- 关于植皮手术,以下哪些是正确的A、薄皮片
- 下肢慢性静脉性溃疡的发生机制有A、炎症B
- 先天性肠旋转不良的手术原则如下,其中哪一
- 颈部的原发性恶性肿瘤中,不包括A、霍奇金
- 患者女,45岁, 颈部增粗15年,近半年
- 1、该患者可初步诊断为A、多囊肾B、多发
- 有关膀胱憩室内结石的治疗,最恰当的是A、
- 男性,61岁, 以"反复呕吐、腹痛10天
- 感觉纤维终止于孤束核的神经是 (
- 患者,男性, 75岁。尿频,进行性排尿困
- 患者男性,60岁, 因右侧胸痛伴胸闷2个
- 有关神经纤维瘤的说法正确的是A、为多发性
- 1、因颈部瘢痕畸形,患者还可能出现A、下