试题详情
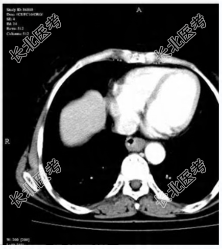
- 单项选择题女性患者,66岁。进行性吞咽困难1个月。如图所示, 最可能的诊断为

A、胃食管反流综合征
B、糜烂性食管炎
C、贲门失弛缓症
D、食管癌
E、食管Behcet病
关注下方微信公众号,搜题查看答案

热门试题
- 急性硬膜外血肿的特点有以下哪几项A、常合
- 美克尔憩室的常见并发症包括A、急性憩室炎
- 1、对该患者应立即采取的措施为A、应用抗
- 关于烧(烧伤)冲(冲击伤)复合伤,叙述正
- 1、患者目前考虑诊断除外A、右肱骨骨折B
- 肘后三角关系在诊断和鉴别以下哪些骨关节损
- 1、针对患者右耳疼痛,下一步的处理措施是
- 有关胃、十二指肠溃疡急性穿孔,下列哪些是
- 空泡蝶鞍综合征的主要临床表现有A、头痛B
- 关于听神经瘤的MRI表现,下列正确的是A
- 1、最可能的诊断为A、房间隔缺损B、法洛
- 一般强酸烧伤的特点不包括A、使组织脱水B
- 患儿女,高位肛门闭锁横结肠造瘘术后6个月
- 附睾与睾丸分离的诊断包括A、病史:大多有
- 选择性迷走神经切断术加引流的缺点为A、术
- 下列对尺桡骨骨折的治疗中错误的是A、应注
- 女孩,1岁6个月, 于新生儿期右髋关节肿
- 二尖瓣闭式扩张术的并发症应除外 (
- 1、该患者首先考虑的诊断是A、右髋关节前
- 关于常用轴型皮瓣肌皮瓣带蒂转移修复,与部