试题详情
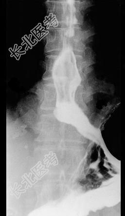
- 单项选择题男性患者,42岁, 2年前始有吞咽梗阻感,近期又出现胸骨后压迫感, 入院行X线钡餐检查,结果如图所示, 最有可能的诊断是 ( )

A、食管癌
B、贲门癌
C、食管憩室
D、食管平滑肌瘤
E、贲门失弛症
关注下方微信公众号,搜题查看答案

热门试题
- 电视胸腔镜手术时除配备胸腔镜手术设备外,
- 下列肺大疱的胸部X线征象哪一项不正确
- 引起急性阑尾炎最重要的原因是A、血行感染
- 食管癌切除术后,拔除胃管24小时内,病人
- 肺爆震伤者治疗的重点在于A、补充血容量B
- 女,56岁, 乳腺癌手术后,未行化疗,
- 下列哪种情况应首选肿瘤切除淋巴结清扫手术
- 女,42岁, 近半月来耳后、枕部疼痛,检
- 肺腺癌的临床特点中,下列错误的是A、起源
- 全脓胸是指脓液积聚在下述哪个部位A、肺与
- 1、此患者存在的水电解质平衡紊乱是2、治
- 1、为明确诊断,首选的检查手段是2、最可
- 1、诊断首先考虑为2、最有助于明确诊断的
- 男,70岁, 进行性吞咽困难3个月,食管
- 患者,男, 60岁,持续干咳二个月, 偶
- 水中毒时体液渗透压的改变特点是A、细胞内
- 1、最可能的诊断为2、根据前述诊断,应进
- 手术区皮肤消毒的范围最少距手术切口A、5
- 患者,男性, 40岁。20年前患过肺结核
- 下述有关纵隔气肿的表述中不恰当的是A、X