试题详情
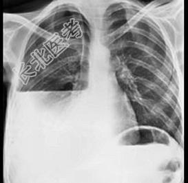
- 单项选择题如图,脓胸病人的X胸片出现液气平面, 可能有下列哪些原因 ( )

A、曾经作过胸腔穿刺
B、支气管或气管瘘
C、食管穿孔
D、膈疝合并肠穿孔
E、以上都是
关注下方微信公众号,搜题查看答案

热门试题
- 胸部损伤后引起休克的主要原因应除外 (
- 关于支气管类癌,哪一项是不正确的 (
- 休克代偿期患者表现A、脉细速,血压低,脉
- 男,47岁。近2个月感胸闷, 胸片示右侧
- 烧伤病人休克改善的临床监测指标最可靠的是
- 下列哪项不是大量气胸的临床表现? (
- 与胸膜间皮瘤发病有关的因素是A、吸烟B、
- 下列哪项是最常用的纵隔镜手术方式A、经胸
- 下列哪项属于肺癌的肺外表现A、肾病综合征
- 60岁,男, 有长期抽烟史,左声带麻痹、
- 男性,67岁, 因不慎跌倒导致闭合性胸部
- 支气管扩张症的基本病理变化是A、病变部位
- 1、根据上述情况,需要考虑哪些诊断2、为
- 无菌操作下导尿,一次导尿量不应超过多少A
- 1、该患者应属于2、即刻采取的扩容措施最
- 胸外伤后,患者血压下降,脉搏细速,X线示
- 下列哪项是急性肾衰竭突出的临床表现A、排
- 男,35岁, 被车撞伤后1小时,结合影像
- 1、应首先考虑的诊断为2、最有效的治疗方
- 癌和肉瘤的主要不同点在于A、病人年龄B、