试题详情
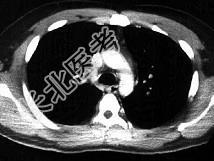
- 单项选择题男,28岁, 突发呼吸困难,结合影像图像, 选择最可能的诊断 ( )


A、右上肺大叶性肺炎
B、右上肺奇叶
C、右主肺动脉栓塞
D、右肺中央肺癌并右上肺不张,淋巴转移
E、右上肺小叶性肺炎
关注下方微信公众号,搜题查看答案

热门试题
- 男性,60岁。进食梗阻感2个月。下列X线
- 对肺外形的描述见图,错误的是 (
- 食管癌影像学表现A、食管呈现细线状狭窄,
- 1、应考虑下列哪项诊断2、应进行下列哪项
- 1、为明确诊断,应立即进行的检查有2、为
- 关于慢性期脓胸,叙述正确的有A、通常在急
- 肺结核行肺切除术的适应证 ( )
- 患者男,10岁, 因“肺炎”入院。患者住
- 急性脓胸并发支气管胸膜瘘者,首选的治疗是
- 关于胸壁结核,下列哪项是错误的A、诊断明
- 1、病人的诊断是2、诊断的主要依据是3、
- 男,26岁, 肺部感染后反复咳嗽咳痰一月
- 一般皮肤切割伤后多长时间有血管内皮细胞增
- 下列哪项不是糖代谢紊乱的发生原因A、低血
- 一般情况下胸壁结核体表肿物位于肋间肌窦道
- 严重休克的休克指数标准是A、0.5B、1
- 长期全胃肠外营养(TPN)病人,出现高渗
- 1、首选的治疗方法是2、最可能的诊断是3
- 1、其原发肺肿瘤可能性最小的病理诊断是2
- 不仅能够了解支气管扩张的形态,而且能够明