试题详情
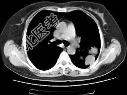
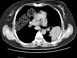
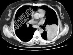
- 单项选择题女,52岁, 左侧背痛一月,胸部CT如图, 最可能的诊断为 ( )




A、左肺中央型肺癌
B、左肺周围型肺癌
C、左肺感染
D、左肺炎性假瘤
E、肺隔离征
关注下方微信公众号,搜题查看答案

热门试题
- 女,30岁, 咳痰,咯血, 请结合影像图
- 换气功能监测的内容不包括A、二氧化碳弥散
- 男性,20岁,左前胸刀刺伤半小时。体格检
- 有关细菌性肝脓肿的叙述下列哪项是不正确的
- 损伤后2~3天体温在38.0℃左右是由于
- 毛细血管瘤的特征,错误的是A、大多为错构
- 60岁,男, 体检胸片发现异常,CT检查
- 胸外伤在什么情况下可出现连枷胸A、张力性
- 下述哪个不属癌前病变A、慢性萎缩性胃炎B
- 1、根据目前提供情况,下列哪些疾病需要考
- 男,25岁,司机,因交通事故胸部受伤,右
- 大量资料表明,下列哪项是肺癌的一个重要致
- 急性脓胸闭式引流的指征是A、脓液稠厚B、
- 心脏病患者实施手术的死亡率是无心脏病者的
- 1、如UCG证实延室间隔缺损存在双向分流
- 胸部外伤可引起纵隔摆动的有A、进行性血胸
- 食管癌主要诊断方法是( )A、气管镜
- 男,13岁, 胸痛胸闷2月,胸部检查如图
- 1、血卟啉病的原发性缺陷是缺乏2、血卟啉
- 肺癌的胸外非转移性表现是A、活动后气短B