试题详情
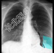
- 单项选择题在图所示正常胸部X线影像图像上,该英文字母所代表的肺段为 ( )


A、H代表内基底段
B、H代表前基底段
C、H代表外基底段
D、H代表后基底段
E、H代表背段
关注下方微信公众号,搜题查看答案

热门试题
- 60岁,男, 有长期抽烟史,左声带麻痹、
- 纠正休克所并发的酸中毒关键在于A、充分换
- 腐蚀性食管灼伤者,如早期发现有长管状狭窄
- 急性肝衰竭的实验室检查,下述不正确的是A
- 感染性休克时的救治包括A、改善微循环B、
- 纵隔肿瘤的检查,下列哪项错误 (
- 术前常规禁食、禁饮的时间是A、禁食4小时
- 明确肺内周围型结节病变病理诊断的最佳手段
- 下列有关肺癌淋巴转移的描述哪项是错误的A
- 下列哪项因素有利于创伤修复和伤口愈合A、
- 对于纤维瘤不正确的描述是A、单发B、多发
- 男,68岁, 右侧胸痛伴右上臂麻木一周,
- 正常情况下进行胸膜腔测压,呼气时的压力为
- 下列为胸部损伤时行急诊室开胸探查的指征是
- 关于肋骨骨折,下列哪项是错误的? (
- 急性脓胸变为慢性脓胸是指病程达到A、3~
- 对放疗高度敏感的肿瘤是A、骨肉瘤B、乳腺
- 下列有关肺癌各项辅助检查的描述错误的是A
- 50岁,男性, 右侧胸痛、咳嗽、咯血3个
- 外科感染的特点,错误的是A、一般是指需要