试题详情
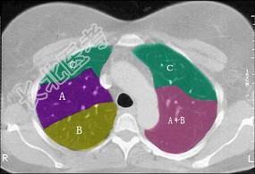
- 单项选择题结合肺段模式(见图),选出右肺下叶的组成 ( )

A、F
B、F+G
C、F+G+H
D、F+G+H+I
E、F+G+H+I+J
关注下方微信公众号,搜题查看答案

热门试题
- 1、该患者最可能的诊断是2、针对以上患者
- 外科中最常见的两种休克是A、低血容量性休
- 1、最佳治疗方案为2、最可能的诊断是3、
- 肺动静脉瘘手术治疗的适应证有A、有相应症
- 闭式胸膜腔引流术的指征为 ( )
- 患者,男性, 21岁,咳嗽伴午后低热1周
- 男,67岁, 吞咽哽噎2个月,症状渐加重
- 急性脓胸不易抽出脓液时,应采取的治疗主要
- 男性,45岁, 因进食时胸骨后不适感1周
- 目前诊断支气管胸膜瘘的金标准是A、胸部X
- 1、该患者可诊断为2、为进一步确诊,排除
- 肺错构瘤的特征性影像学表现为A、圆形或椭
- 急性脓胸拔除闭式引流管的主要依据是A、白
- 挤压综合征最常引起A、急性肾衰竭B、呼吸
- 诊断贲门失弛缓症最具临床意义的检查是A、
- 近年来临床上脓胸的主要致病菌是A、β溶血
- 男,47岁。近2个月感胸闷, 胸片示右侧
- 男性,60岁, 咳嗽、痰血伴左胸部不适2
- 在图所示正常胸部X线影像图像上,该英文字
- 1、最可能的诊断是2、有助于诊断的检查是