试题详情
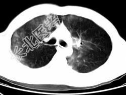
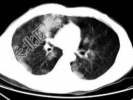
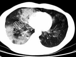
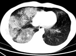
- 单项选择题男,28岁, 外伤后1小时行胸部CT如图,其最可能的诊断为 ( )




A、肺炎
B、肺脓肿
C、肺囊肿
D、肺癌
E、双肺挫伤
关注下方微信公众号,搜题查看答案

热门试题
- 低钾血症患者补钾速度一般不宜超过A、12
- 下列哪些是肺癌的手术禁忌证 (
- 肺癌国际TNM分期中的Ⅲa期是指A、T<
- 关于创伤性血胸,叙述错误的是A、可与气胸
- 男性,30岁, 高热、咳嗽、咳脓痰3天,
- 肺腺癌的临床特点中,下列错误的是A、起源
- 脓胸病人胸穿抽出脓液为暗灰色,较稠并有恶
- 男性,40岁, 胸部受伤后产生张力性气胸
- 下列哪项属于肺癌的肺外表现A、肾病综合征
- 食管癌切除术后出现吻合口瘘多在术后(
- 女,29岁, 宫外孕破裂,并有失血性休克
- 食管化学性烧伤患者,如有早期狭窄征象,即
- 下列有关肿瘤的实验室检查叙述错误的是A、
- 大量资料表明,下列哪项是肺癌的一个重要致
- 胸壁结核临床多表现为A、局部皮肤红肿,热
- 关于脓胸,下列哪几项是正确的A、主要是胸
- 1、应考虑下列哪项诊断2、应进行下列哪项
- 下列关于营养物质代谢错误的是A、肝脏在门
- 多根多处肋骨骨折引起纵隔扑动的主要原因是
- 肋骨骨折的处理原则主要包括A、镇痛,保持