试题详情
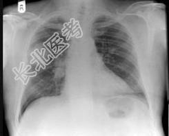
- 单项选择题58岁,男, 咳嗽、气促3个月,抽烟二十余年, 请结合胸片图选择最可能的诊断 ( )

A、肺癌
B、胸膜间皮瘤
C、肺结核
D、错构瘤
E、结节病
关注下方微信公众号,搜题查看答案

热门试题
- 1、该患者可诊断为2、为进一步确诊,排除
- 1、较稳妥的诊治方案是2、若术中冰冻检查
- 下列哪项应考虑癌性胸水A、胸水清澈、静置
- 1、气管插管时如已发生误吸,紧急处理,下
- 关于人体的能量储备和需要,下列哪项不正确
- 长期的全胃肠外营养中,最严重的并发症是A
- 男,13岁, 胸痛胸闷2月,胸部检查如图
- 中心静脉插管感染最常见的致病菌A、需氧革
- 肺脓肿多发于下列哪些类型肺癌A、鳞癌B、
- 有关食管内镜超声捡查食管癌的描述错误的是
- 胆道感染最常见的致病菌是A、金黄色葡萄球
- 纵隔囊肿,可选择下列哪些检查A、胸片X线
- 女,55岁, 胸痛伴咯血丝痰一周,胸部C
- 50岁,男性, 右侧胸痛、咳嗽、咯血3个
- 下述哪些是纵隔肿瘤的常见临床表现A、无症
- 关于脓胸,下列哪几项是正确的A、主要是胸
- 侵犯胸膜的肺癌可产生A、颈交感神经综合征
- 男性,65岁,低热、咳嗽3个月。胸部CT
- 1、最可能的诊断是2、有助于诊断的实验室
- 关于凝固性血胸的正确说法包括 (