试题详情
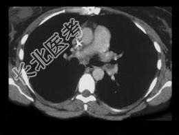
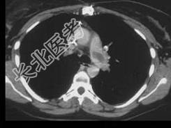
- 单项选择题女,51岁, 心脏手术后,突感胸痛, 结合CT图像,最可能的诊断是 ( )


A、肺栓塞
B、支气管扩张
C、肺水肿
D、肺癌
E、肺不张
关注下方微信公众号,搜题查看答案

热门试题
- 感染性休克应用皮质激素的作用是A、阻断受
- 肺减容术治疗重度肺气肿的最基本的原理是A
- 下列选项中不属于局部麻醉的是A、表面麻醉
- 1、为明确诊断,应首选2、(假设信息)患
- 根据病因不同气胸的分类有A、闭合性气胸B
- 关于贲门失弛缓症,下列哪项是不正确的
- 有关缺水的叙述,下列哪项是错误的A、高渗
- 男,35岁, 被汽车撞伤右胸已经24小时
- 广泛的下肢深静脉血栓形成最严重的并发症为
- 多根多处肋骨骨折的反常呼吸,在吸气时下列
- 损伤性血胸,其出血可自行停止者多为 (
- 皮肤基底细胞癌为A、来源于皮肤或基底细胞
- 下列哪项不是肺癌的非转移全身症状(
- 1、若需要确诊,合理的检查应是2、若仍疑
- 1、为明确诊断,首选的检查方法应该是2、
- 胸部损伤造成呼吸困难的原因是 (
- 食管癌主要诊断方法是( )A、气管镜
- 对肺癌的基本论述中,下列不正确的是A、起
- 周围型肺癌阻塞支气管腔后,X线检查常见A
- 男,45岁,咳嗽一个月,痰中偶带血丝,查