试题详情
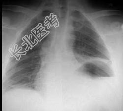
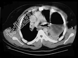
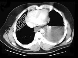
- 单项选择题35岁,男, 因车祸入院,呼吸困难、发绀、上腹痛, 请结合胸片和CT选择最可能的诊断 ( )



A、膈疝
B、胸腔积液
C、膈膨升
D、膈麻痹
E、液气胸
关注下方微信公众号,搜题查看答案

热门试题
- 一胸部外伤病人,严重皮下气肿和极度呼吸困
- 食管中段,直径2cm平滑肌瘤,凸向管壁右
- 治疗张力性气胸下列哪项是错误的( )
- 伤员左胸挤压伤,伤后出现呼吸困难,气管右
- 一发热病人,咳嗽,胸痛,咳臭痰,胸片发现
- 有关胃肠道手术病人术前准备,正确的是A、
- 下列哪项符合胸腹联合伤? ( )
- 男性,68岁,进食哽噎感4个月,现能进普
- 食管癌弓上吻合术后第6天,体温39.5℃
- 低钾血症经补充钾治疗后,症状仍无改善者,
- 1、为明确诊断,应首选2、病人1个月后出
- 关于急性脓胸的症状、体征及X线表现如图,
- 最常见的膈疝是以下哪种A、食管裂孔疝B、
- 1、如手术治疗,宜选择何种术式2、下一步
- 乳腺癌早期血行转移最常见于A、胃B、肾C
- 关于小细胞肺癌的叙述,下列哪项是错误的
- 肺爆震伤常合并损伤的器官是A、眼B、鼓膜
- 女性,37岁, 右胸被铁棒戳伤15分钟。
- 下述关于肋骨骨折的描述,错误的是A、较易
- 男,40岁, 被汽车撞伤,送入急诊室。体