试题详情
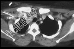
- 单项选择题男,33岁, 车祸后十余天,请结合影像学检查, 选出最可能的诊断 ( )


A、纵隔畸胎瘤
B、胸内甲状腺肿
C、胸腺瘤
D、淋巴瘤
E、纵隔血肿
关注下方微信公众号,搜题查看答案

热门试题
- 关于气性坏疽的叙述错误的是A、由革兰阳性
- 硫喷妥钠静脉麻醉时较常见的并发症是A、低
- 1、患者下列检查必须的有( )2
- 有关食管癌的临床特点,下列不正确的是A、
- 食管癌病人出现进食呛咳,可能的原因有A、
- 长期肠外补充营养的首选途径是A、鼻胃管B
- 1、根据病史和临床表现首先应考虑下列哪项
- 反映机体内脏蛋白情况的检查方法是A、三头
- 术后常见的并发症及症状是A、发热B、出血
- 在何种情况下考虑支气管断裂A、广泛皮下气
- 1、为明确诊断,首选的检查方法应该是2、
- 下列哪项不是紧急剖胸探查的指征A、胸膜腔
- 1、首先考虑诊断是 ( )2、假
- 有关非小细胞肺癌术前新辅助化疗的描述下列
- 与外科纵隔镜相比,胸部PET检查被称为“
- 男性,32岁, 因车祸腹部受伤致小肠破裂
- 支气管扩张的主要诊断依据是A、胸部X线摄
- 乳腺癌早期血行转移最常见于A、胃B、肾C
- 多根多处肋骨骨折伴有反常呼吸时处理原则是
- 下列哪种情况应首选肿瘤切除淋巴结清扫手术