试题详情
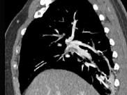
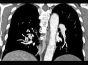
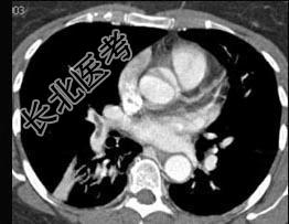
- 单项选择题男,56岁, 食管癌术后,胸痛, 呼吸困难,结合CT图像, 最可能的诊断是 ( )



A、食管癌肺转移
B、肺栓塞
C、支气管扩张
D、肺水肿
E、肺不张
关注下方微信公众号,搜题查看答案

热门试题
- MODSE的治疗包括A、治疗原发病B、抗
- 老年慢性缩窄性心包炎的典型体征有A、Ku
- 急性左心衰时患者烦躁最好选用A、哌替啶B
- 以下应高度怀疑为假性高血压,不包括A、显
- 男,31岁, 不规则发热1个月。查体:二
- 结合肥大细胞和嗜碱性粒细胞的免疫球蛋白是
- 男性,22岁, 被诊断为慢性无症状乙型肝
- 女性,60岁, 早晨起床时发现右上下肢麻
- 肾实质性高血压80%以上由( )引起
- 泵衰竭通常是指 ( )A、风心病
- 1、最可能的诊断是:2、确诊需要进行的检
- 男性,42岁。原有肥厚性心肌病, 近2年
- 充血性心力衰竭心脏再同步化治疗(CRT)
- 1、患者目前心律失常的诊断是2、目前紧急
- 继发性高血压的病因包括A、嗜铬细胞瘤B、
- 右心导管检查可以出现Kussmaul征的
- 急性二尖瓣关闭不全临床特有表现为A、胸痛
- 关于高血压危象正确的是A、可有双侧眼底渗
- 心脏性猝死终末事件期的典型表现不包括哪项
- 肥厚型心肌病的临床表现可有A、猝死B、动