试题详情
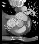
- 单项选择题下面一组图像考虑为 ( )



A、正常的肺动脉瓣
B、正常的二尖瓣
C、正常的三尖瓣
D、正常的主动脉瓣
E、变异的主动脉瓣(两个瓣膜)
关注下方微信公众号,搜题查看答案

热门试题
- 室间隔缺损的并发症中,感染性心内膜炎常见
- 下列哪项是恶性高血压病的肾脏特征性病变(
- 1999年WHO/ISH高血压处理指南规
- 1、该患者的诊断首先考虑是2、该患者治疗
- 男性,30岁。1个月来发热伴心悸、气急来
- 心力衰竭的病理生理机制不包括A、RAAS
- 患者男,45岁,阵发性心房颤动2年,1个
- 关于心表面沟的描述,不正确的是( )
- 老年患者形成肺高压的机制有A、血管内皮N
- 以下描述不正确的是A、房室结的血供通常来
- 主动脉瘤的发病机制中不包括A、中层囊性坏
- 不能被心房程序电刺激所诱发与终止的心动过
- 慢性主动脉瓣关闭不全的晚期表现为A、右心
- 1、最可能的诊断为2、以下检查应作为首选
- 关于心肌细胞动作电位阈电位的定义,正确的
- 哪些疾病可出现二尖瓣区舒张期隆隆样杂音A
- 下列哪种情况是洋地黄治疗的最好指征A、急
- 1、你首先要做的是2、如果患者没反应,有
- 急性感染性心内膜炎最具诊断意义的是A、肝
- 失钾性肾病亦表现为血压升高与血钾降低,但