试题详情
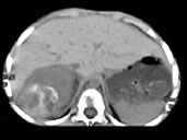
- 多项选择题男,5 岁, 消瘦、贫血、纳差和腹部包块3个月,CT检查如图, 下列说法正确的是  (    )
       
- A、右侧腹腔内可见一巨大软组织肿块影,其边界欠清楚 
- B、肿块密度不均匀,可见片状的较高密度,考虑为出血,也可见点状的钙化影 
- C、该病灶来源于肝脏,考虑为肝母细胞瘤 
- D、该病灶来源于右肾上腺,考虑为神经母细胞瘤 
- E、该病灶来源于右肾,考虑为肾胚胎瘤 
- 关注下方微信公众号,搜题查看答案 
 
热门试题
- 下肢静脉曲张,行Trendelenbur
- 1、为进一步诊断,首选下列哪种检查2、下
- 下列哪项不符合脐疝的特点A、小儿脐疝发生
- 先天性巨结肠症(Hirschsprung
- 在臂丛神经损伤的临床表现中,以下叙述错误
- 以下颈部疾病,与先天胚胎发育无关的是A、
- 后尿道瓣膜症,产前超声检查, 不可见到的
- 骨盆骨折由于解剖位置的关系,易于出现并发
- 运动系统最重要的体征是A、肿胀B、波动C
- 增生性关节炎的发生是从A、关节滑膜病变开
- 新生儿脐炎常见的病原菌是A、绿脓杆菌B、
- 5岁小儿,两下肢(不包括臂部)烧伤面积可
- 上尿路结石多数为A、草酸钙结石B、磷酸钙
- 1、最可能的诊断是2、目前治疗的方法是
- 下列哪种情况可排除骨折的可能性( )
- 下列有关肠内营养的论点,不正确的是A、肠
- 下列心电图表现中,低钾血症时最早的改变是
- 关于消化道重复畸形的治疗下列哪一项是正确
- 下列哪项不是为骶尾部肛门成形术的手术原则
- Kasabach-Merritt综合征常