试题详情
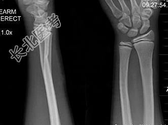
- 单项选择题男,10岁, 有外伤,根据所提供图像, 选择最佳选项 ( )

A、未见异常
B、骺移骨折
C、青枝骨折
D、腕关节脱位
E、踝关节脱位
关注下方微信公众号,搜题查看答案

热门试题
- 低钾血症是指血钾低于A、4.2mmol/
- 下列因素可促使念珠菌病的发病,但哪一项除
- 急性肾小球肾炎最初水肿部位( )。A
- 小儿,女, 身高90cm,前囟已闭, 乳
- 房室旁路折返引起心动过速是A、窦房传导阻
- 不符合室性期前收缩心电图改变的是A、T波
- 以下再生障碍性贫血的血常规改变不包括哪项
- 患儿,女, 11岁。昨天受凉,今晨起感双
- 6个月婴儿,发热、咳嗽4天, 喘憋2天。
- 结节性脂膜炎与结节性多动脉炎的区别在于A
- 关于婴儿期下列观点不正确的是 (
- 4月龄男婴,近1个月烦躁、多汗、夜惊不安
- 预防接种脊髓灰质炎的方法有减毒活疫苗A、
- 1、该女孩可能缺乏哪种营养素 (
- 早期诊断蛋白质营养不良的灵敏而可靠的指标
- 小儿药物剂量计算方法中最为准确的方法是A
- 急性溶血性贫血、黄疸、Coombs试验(
- 1、此患儿最可能的诊断是2、为明确诊断,
- 全身出血性疾病应查A、痰液涂片B、纤维支
- 有关PPD皮试以下说法正确的是( )