试题详情
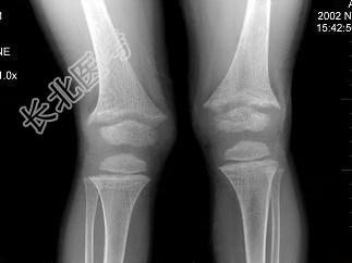
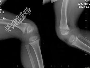
- 单项选择题男,6岁, 睡眠差,夜惊, 多汗;出牙较迟; 血清磷减低、血清钙减低、碱性磷酸酶升高,请结合图像选择最佳选项  (    )


 A、维生素D缺乏病
B、骨软化症
C、先天性骨梅毒
D、肾性维生素D缺乏病
E、脆骨病
关注下方微信公众号,搜题查看答案

热门试题
- 以下哪项不是小儿胃食管反流的发病原因A、
 - 下列哪些治疗血友病甲出血的方法正确 (
 - 1、提示:心电图示高度房室传导阻滞。提问
 - 1、应重点补充询问的病史包括( )。
 - 小儿肺炎诱发心力衰竭的主要原因是 (
 - 1、该患儿的发作类型是2、假设患儿近期出
 - 女孩,6岁, 入学体检时尿沉渣WBC20
 - 支气管扩张最常见于下列哪项免疫缺陷病A、
 - 维生素C缺乏症患儿四肢长骨X线检查最早的
 - 肝豆状核变性的基本代谢缺陷是 (
 - 关于重症肌无力,正确的是A、胸腺瘤发生率
 - 骨髓外造血是小儿时期需要增加造血时,造血
 - 关于儿科临床特点,下列哪项是正确的A、小
 - 有关蚕豆病的治疗,哪一项是错误的A、立即
 - 患儿生后不久出现呕吐,呕吐物为黏液, 精
 - 1、该患儿最可能的诊断是( )。A、
 - 男,1岁,患过3次肺炎,多次腹泻,2次严
 - 有关代谢性酸中毒正确的是 ( )
 - 左向右分流型先天性心脏病的共同特征包括A
 - 右向左分流型先天性心脏病不包括( )