试题详情
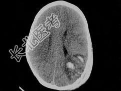
- 单项选择题男,3岁, 头颅被球击中,请结合CT图像, 选择最可能的诊断是  (    )




 A、高血压性脑出血
B、脑结核
C、脑挫裂伤血肿形成
D、动脉瘤破裂出血
E、血管畸形
关注下方微信公众号,搜题查看答案

热门试题
- 溶血尿毒综合征的临床特点不包括 (
 - 下列说法中不正确的是( )。A、对婴
 - 1、该患儿最可能的诊断是2、为控制惊厥首
 - 1、此患儿诊断是 ( )A、新生
 - 对于遗尿症的治疗正确的是( )。A、
 - 新生儿重度缺氧缺血性脑病可有以下表现A、
 - 动脉导管未闭A、肺动脉血氧含量较右心室高
 - 新生儿肺透明膜病的临床特点为( )。
 - 关于新生儿窒息,下列说法哪项是错误的
 - 1、此患儿最可能患有下列哪种疾病2、下列
 - 基本生命支持的下列说法中哪项不正确 (
 - 婴儿计划免疫,下列哪项正确A、2个月开始
 - 男孩1岁半,咳嗽4天,发热2天,气急1天
 - 结核性腹膜炎外科适应证为( )。A、
 - 16个月男孩,发热、皮疹8天,眼结膜充血
 - 在对癫痫患儿选用抗癫痫药物治疗的用药原则
 - 营养性巨幼红细胞性贫血对治疗最早出现反应
 - 婴儿腹泻脱水,在补液和纠正酸中毒后出现低
 - 关于小儿腭扁桃体发育规律,下列正确的是(
 - 儿童皮肌炎的治疗首选药物是A、非甾体类抗