试题详情
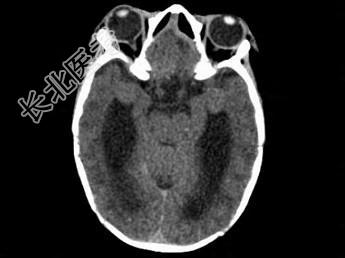
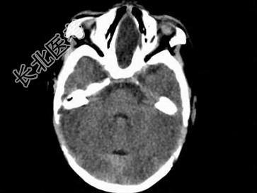
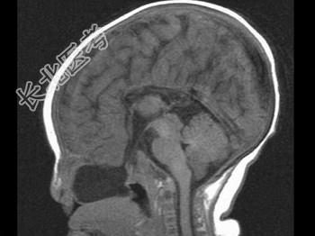
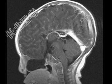
- 单项选择题两个月女婴,口咽部有一肿块, 行CT检查如图,请选择最可能的诊断 ( )




A、脑积水
B、胼胝体发育不全
C、透明隔囊肿
D、前脑无裂畸形
E、Dandy-Walker综合征
关注下方微信公众号,搜题查看答案

热门试题
- 1、特征性症状是( )。A、烦渴、多
- 肝豆状核变性伴随早期肝受累,同时可出现A
- 患儿,3个月, 母乳喂养,最近大便次数增
- 患儿,9个月。血常规: 血红蛋白80g/
- 1、拟诊为A、化脓性脑膜炎B、脓毒症C、
- 新生儿甲状腺功能减退症常见于(
- 早产儿动脉导管未闭易合并呼吸窘迫综合征及
- 在心肺复苏中,药物可从以下几个途径给予
- 母乳喂养的优点A、蛋白质、脂肪、碳水化合
- 保持呼吸道通畅的方法有 ( )A
- 抗休克扩容的液体首选 ( )A、
- 预示小儿急性出血性坏死性小肠炎预后不良最
- 新生儿ABO血型不合引起的溶血病多见于A
- 对于重度脱水或中度脱水有明显周围循环衰竭
- 骨髓移植的作用有( )。A、可治疗严
- 肾单位的组成( )。A、肾皮质和髓质
- 患儿,男,4岁。近20天来食欲缺乏、疲乏
- 下列说法中正确的是A、对婴幼儿先天性甲状
- 10个月男孩,近5天来抽搐发作3~4次。
- ALL主要的细胞遗传学改变有 (