试题详情
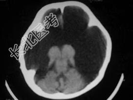
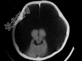
- 单项选择题女,1岁半, 头颅迅速增大,行CT检查如图, 请选出最可能的诊断  (    )


 A、积水型无脑畸形
B、硬膜外血肿
C、硬膜下血肿
D、硬膜下积液
E、脑内血肿
关注下方微信公众号,搜题查看答案

热门试题
- 患儿,男,1个月,出生体重3000g。生
 - 心内膜弹力纤维增生症的实验室检查特点有A
 - 1、此患儿最可能的诊断为 ( )
 - 前囟较大可见于A、维生素A缺乏B、甲状腺
 - 1岁婴儿,因呕吐、腹泻3天入院。诊断为:
 - 男孩,2岁。因左下肢不能站立, 左下肢肌
 - 患儿,6岁。黏液水肿面容, 智力低下,口
 - 重症新生儿呼吸窘迫综合征应用呼吸机辅助通
 - 幼儿应于1.5~2岁时开始训练大小便的习
 - 脊髓灰质炎三价混合疫苗的基础免疫应每个月
 - 苯丙酮尿症患儿的血液中哪项增高A、酪氨酸
 - 对于唐氏综合征(21-三体综合征),最具
 - 先天性支气管扩张由于气管支气管肌肉及弹力
 - 抢救革兰阴性菌引起的感染性休克时,早期大
 - 鞣酸加压素治疗中枢性尿崩症的初始剂量为
 - 急性感染性多神经根炎的临床表现不正确的是
 - 过敏性紫癜的特点不包括A、粪隐血试验可(
 - 新生儿保健的重点在 ( )A、出
 - 儿童保健研究涉及的内容包括( )A、儿
 - 水痘发热后几日开始出皮疹A、半天B、1天