试题详情
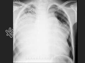
- 单项选择题男,13岁, 胸痛胸闷2月,胸部检查如图, 最可能的诊断为  (    )

 A、心力衰竭并右侧胸腔积液
B、纵隔占位
C、先天性心脏病,房缺
D、先天性心脏病,动脉导管未闭
E、右侧胸腔大量积液
关注下方微信公众号,搜题查看答案

热门试题
- 早期佝偻病的实验室检查指标下降是( )
 - 5岁男孩,反复水肿1年余。入院后查: 尿
 - 小儿化脓性脑膜炎若经合理正规抗生素治疗4
 - 患儿女,9个月, 腹泻稀水便2天,无发热
 - 关于蛋白尿,叙述正确的有A、健康人也可出
 - 心脏触诊关于震颤的描述,正确的是(
 - 关于新生儿窒息,下列说法哪项是错误的
 - 患儿男,2岁, 因“乏力3个月,心悸、气
 - 4:3:2液的组成是 ( )A、
 - IgA肾病临床表现描述不正确的是( )
 - 新生儿期,最为常见的是A、病毒性脑炎B、
 - 流感嗜血杆菌脑膜炎,下列哪项是错误的
 - 下列符合代谢性酸中毒的是 ( )
 - 新生儿出血症经典型,常见出血部位是 (
 - 麻疹与风疹的临床鉴别要点是( )。A
 - 不引起淋巴结反应性肿大的疾病是A、败血症
 - 下列关于营养性巨幼红细胞性贫血骨髓象特点
 - 5岁患儿,发热5天,头痛,呕吐3天,体检
 - 顿挫型脊髓灰质炎的病程终止于( )A、
 - 对于生长激素的促生长作用,下列哪项描述不