试题详情
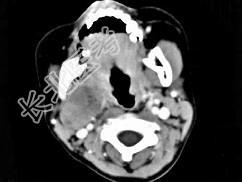
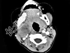
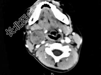
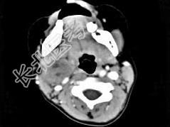
- 单项选择题女,4岁, 右侧颈部可扪及一包块约两个月,无热无痛, CT如图所示,最可能的诊断为  (    )

 A、咽旁血管外皮瘤
B、咽旁副神经节瘤
C、咽旁脓肿
D、咽旁神经纤维瘤
E、咽旁小唾液腺混合瘤
关注下方微信公众号,搜题查看答案

热门试题
- 女婴,胎龄42周, 剖宫产娩出。出生无呼
 - 当出现以下哪一种情况时,要注意复杂性热性
 - 血清IgG高于母体见于( )。A、足
 - 1、该例最可能的诊断是A、急性播散性脑脊
 - 新生儿泌尿系统生理特点不正确的是(
 - 病毒性脑膜炎的临床特点是 ( )
 - 9个月女婴,头颅迅速增大, 四肢肌力下降
 - 高危儿的定义应除外 ( )A、高
 - 关于HIE的预后,下列哪些是正确的 (
 - 影响二氧化碳排出的呼吸机参数 (
 - 患儿,男,6小时。第一胎第一产,孕40周
 - 1、可暂不考虑的检查是2、脑脊液:WBC
 - 下述关于抗结核药物的选项中,不正确的是A
 - 以下哪种心脏病最不易出现心力衰竭A、房间
 - 关于共济失调毛细血管扩张综合征,叙述正确
 - 生后1天新生儿,白细胞20×109/L,
 - 患儿,女, 1岁半。发热4天,近1天频繁
 - 男,12岁, 左面颊肿大5年余,局部呈紫
 - 治疗ADHD的一线药物为A、丙米嗪B、苯
 - 迄今仍有一些传染病尚无疫苗可用,可采取以