试题详情
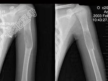
- 单项选择题13岁男性患者,因轻微外伤后感左肱骨上部疼痛, 软组织肿胀,摄片见左肱骨上段局限性骨质沿髓腔膨胀性破坏, 骨皮质变薄,部分骨皮质不连续, 最可能的诊断是  (    )

 A、左肱骨骨折
B、左肱骨骨囊肿伴病理性骨折
C、左肱骨骨纤伴病理性骨折
D、左肱骨巨细胞瘤伴病理性骨折
E、以上都不正确
关注下方微信公众号,搜题查看答案

热门试题
- 急性感染性多神经根炎,主要特征是A、对称
 - 上、下消化道划分的解剖标志是( )。
 - 治疗急性肾炎早期最主要的措施是A、忌盐饮
 - 1、该患儿最可能的诊断是2、该患儿需卧床
 - 患儿,男, 11岁。体育课时突感心悸,面
 - 肺含铁血黄素沉着症静止期的主要治疗是A、
 - 关于早产儿外观特点,下列哪项是错误的A、
 - 1、患儿最可能是2、可能的诊断是3、止抽
 - 化脓性脑膜炎伴抗利尿激素异常分泌时常表现
 - 重度蛋白质-能量营养不良患儿住院治疗哪一
 - 小儿体重测量的意义为 ( )A、
 - 男,5岁,自幼易感冒,生长发育尚可,近年
 - 有关代谢性酸中毒正确的是 ( )
 - 不符合先天性甲状腺功能减低症的有 (
 - 小儿年龄分期中新生儿期指A、从出生到满7
 - 对脊髓灰质炎患儿应隔离A、7天B、14天
 - 婴儿肠套叠一般有三大典型表现,即(
 - 9个月小儿,腹泻4天,查血气分析结果为:
 - 以下哪项不是小儿胃食管反流的发病原因A、
 - 霍乱引起腓肠肌痉挛的原因是( )。A