试题详情
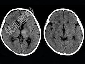
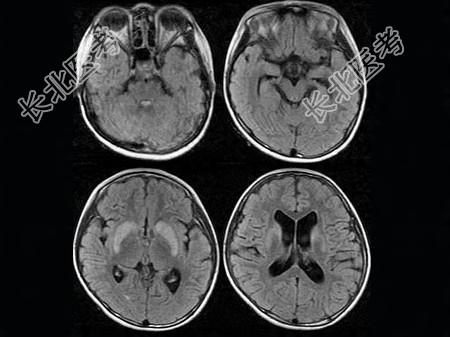
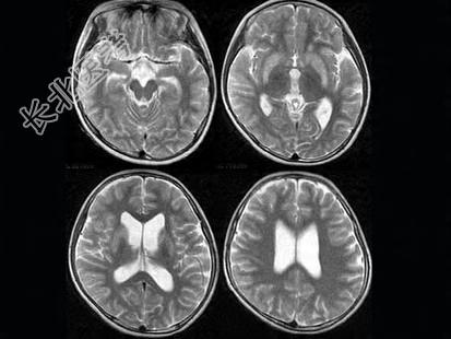
- 单项选择题女,12岁, 进行性肢体震颤1年余,多次出现发音困难, CT、MRI检查如图所示,最可能的诊断为  (    )

 A、肝豆状核变性
B、脑萎缩
C、双侧基底节区多发梗死
D、脱髓鞘改变
E、脑积水
关注下方微信公众号,搜题查看答案

热门试题
- 7月份,11个月患儿, 腹泻4天,为黄绿
 - 与自身免疫有关的疾病是 ( )A
 - 当怀疑小儿急性肾炎早期心力衰竭时,以下哪
 - 诊断呼吸急促的标准是A、≤2个月龄,呼吸
 - 1岁婴儿,血钾正常浓度范围为A、2.5~
 - 经预防能阻断宫内传播的病毒性肝炎是(
 - 会洗手洗脸,说短的歌谣, 能认识男女,最
 - 在下列诸因素中,哪项与幼婴易患呼吸道感染
 - 小儿巴宾斯基征阳性在何时为生理现象(
 - 关于减毒活疫(菌)苗接种的优点,错误的是
 - 下述哪项方法适用于诊断小儿慢性胃炎(
 - 开展新生儿疾病筛查属于A、遗传病的一级预
 - 区别再生障碍性贫血与急性白血病的主要方法
 - Turner综合征的核型中哪些最为常见
 - 关于朗格汉斯细胞组织细胞增生症(LCH)
 - 以下哪项不是呼吸道合胞病毒性肺炎的典型表
 - 关于黄疸的叙述中,下列哪一项是不正确的(
 - 关于生长激素的叙述,下列哪项是错误的A、
 - 对于小儿肥胖症的治疗,以下不正确的是A、
 - 禁水试验时,患者出现严重脱水或体重下降超