试题详情
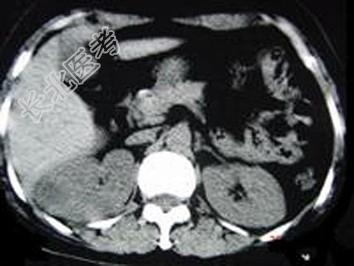
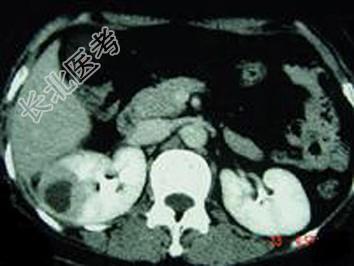
- 单项选择题女,12岁, 右腰部疼痛10天,尿检可见大量的脓细胞 CT平扫+增强如图所示, 应诊断为 ( )

A、右肾脓肿
B、右侧感染性肾囊肿
C、右肾转移瘤
D、右侧肾癌
E、右肾结核
关注下方微信公众号,搜题查看答案

热门试题
- 重症肺炎伴腹胀时,下列哪项处理不正确A、
- 1、该患儿最可能的诊断是 ( )
- 1、医生的下列指导哪项不恰当2、小儿有以
- 关于室间隔缺损下列哪些是正确的A、大型缺
- 胎儿期及围生期保健重点包括( )A、预
- 6个月小儿,牛乳喂养,正确的喂养方法是
- 怀疑存在颈椎损伤者,呼吸复苏时的正确动作
- 以下哪项不是小儿胃食管反流的发病原因A、
- 一氧化碳中毒机理是 ( )A、作
- 导致X连锁无丙种球蛋白血症的原因是A、B
- 小儿肠套叠诊断首选的检查是A、钡剂灌肠B
- 遇小儿咽部有异物时,最佳排除异物方法为(
- 小儿腺病毒肺炎常表现有以下特点A、多见于
- 小儿艾滋病的诊断依据为(请从以下5个备选
- 有关低渗性脱水的描述正确的是 (
- 小儿时期心衰发病率最高的年龄组是A、1个
- 1、该患儿可出现的临床表现( )
- 3~6个月佝偻病患儿,多见的骨骼系统改变
- 女,6岁, 皮疹3天。1周前患上呼吸道感
- 1、首先应检查2、母乳喂养至1岁时加稀粥