试题详情
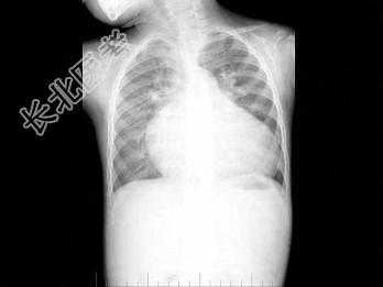
- 单项选择题男性,1岁零8个月, 生长发育差,易患呼吸道感染, 心悸气促,行心脏正、侧位片检查如图所示, 错误的是  (    )


 A、正位示心影向两侧扩大,心尖左移
B、肺纹理增多
C、侧位示心前间隙变窄,心后食管前三角间隙消失
D、房间隔缺损
E、室间隔缺损
关注下方微信公众号,搜题查看答案

热门试题
- 8个月男孩,诊断为婴儿痉挛症。首选的抗癫
 - 男孩,2岁。生后反复患肺炎、腹泻及革兰阴
 - Ⅰ型糖尿病的病因与下列哪项无关 (
 - 新生儿肺透明膜病生后24小时胸部X线表现
 - 1、医生的下列指导哪项不恰当2、小儿有以
 - 下列关于小儿急性偏瘫的特点,错误的是A、
 - 患儿女,4岁, 患脑炎,昏迷状, 呼吸困
 - 锌缺乏的临床表现不包括( )A、消化功
 - 胎龄39周,4000克的新生儿,因产伤引
 - 哪些疾病的病原体可从患者粪便中排出A、霍
 - 急性胰腺炎治疗中禁食、胃肠减压的目的是A
 - 下列哪种液体是等张液A、2:3:1液B、
 - 急性细菌性痢疾中毒型易发生以下哪些现象(
 - 儿童行为问题一般可分为A、运动行为问题B
 - 肾病综合征患儿应用糖皮质激素治疗4周后,
 - 男孩,6岁。系脑性瘫痪。对其进行治疗时,
 - 支气管淋巴结结核,出现百日咳样咳嗽是由于
 - 1、下列因素与本例发生腹泻有关,除了2、
 - 1、该例的诊断除缺氧缺血性脑病外,尚应考
 - 患儿,3个月, 母乳喂养,最近大便次数增