试题详情
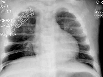
- 单项选择题6个月婴儿,持续高热8~10天, 精神萎靡,时有烦躁不安, 频繁咳嗽,喘憋。左下肺叩诊稍浊, 呼吸音降低,闻及小水泡音, 血白细胞8×109/L。胸部X线片示两肺纹理增多,可见大片状阴影, 伴有肺气肿,见图。最可能的诊断是 ( )

A、支气管肺炎合并中毒性脑病
B、腺病毒性肺炎
C、金黄色葡萄球菌肺炎
D、支原体肺炎
E、急性毛细支气管炎
关注下方微信公众号,搜题查看答案

热门试题
- 出生后第1个条件反射形成在( )A、生
- 1、患儿诊断应考虑( )。A、先心病
- HCMV输血后综合征的高危人群包括A、婴
- 肺炎患儿进食少时可给予补液,补液量为A、
- 母亲正常分娩后何时哺乳自己的胎儿(
- 患者6岁半,女孩, 咳嗽发热3天,体温3
- 1、最可能的诊断是2、为进一步明确诊断,
- 儿童皮肌炎的治疗首选药物是A、非甾体类抗
- 下列哪项不属于蛋白尿形成的原因A、肾小管
- 以抗体缺陷为主的免疫缺陷病容易严重感染A
- 患儿胎龄43周,体形瘦长,出生时无呼吸,
- 患儿,男,3天。生后即出现全身发绀;心前
- 4岁男孩,家居农村, 8月15日突发高热
- 导致病毒性脑炎的病毒感染途径通常包括以下
- 患儿血压急剧增高,出现惊厥,首选用药A、
- 1、诊断首先考虑下列哪一项( )。A
- 隐球菌病晚期的基本病理变化为A、弥漫渗出
- 1、该患儿可能的诊断是A、急性肾小球肾炎
- 男,3岁,诊为支气管哮喘危重症,经镇静、
- 可以降低肺动脉压力的药物不包括下列哪种A