试题详情
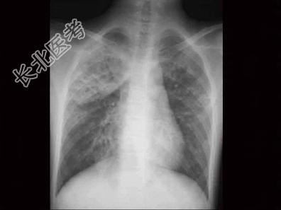
- 单项选择题患儿11个月,突发高热4天, 烦躁,咳嗽频繁, 呻吟,发病前3天有皮肤破损及感染史, 肺部有散在中、细湿啰音,胸部X线可见斑点状结节阴影, 见图,血象白细胞总数增高, 核左移,该患儿最可能诊断为  (    )

 A、金黄色葡萄球菌性肺炎
B、腺病毒性肺炎
C、支原体肺炎
D、呼吸道合胞病毒性肺炎
E、肺炎链球菌肺炎
关注下方微信公众号,搜题查看答案

热门试题
- 糖尿病代谢紊乱的重要环节为 (
 - 以下哪点不符合肾炎性肾病A、血尿B、高血
 - 关于新生儿先天梅毒的皮肤表现,说法错误的
 - 1、下列哪些检查对患儿有价值( )。
 - 1、诊断应首先考虑2、患儿饮食调整方案应
 - 小儿惊厥处理的原则中不包括 (
 - 下列哪项不符合中枢性尿崩症 (
 - 患儿,男, 2岁,患肺炎, 弛张热5天,
 - 男,8岁, 跨越过街栏杆时骑跨伤1小时,
 - 苯丙酮尿症患儿的血液中哪项增高A、酪氨酸
 - 男,12岁, 大腿下部间歇性疼痛,劳累后
 - 8岁男孩,诊断为失神发作。在下列抗癫痫药
 - 口服补液盐配方,哪项不正确A、碳酸氢钠2
 - 2岁女童,低热1个月, 消瘦,乏力, 颈
 - 1岁小儿总液体量与体重的比例为( )
 - 身长的中点与年龄有关,在脐上时,年龄为A
 - 小儿肺炎导致心衰发生的机制,哪项是错误的
 - 急性坏死性肠炎的患儿,起病后即应禁食,直
 - 男,胎龄33周,顺产,出生体重2.1kg
 - 10个月婴儿,单纯母乳喂养,虚胖,中度贫